1. تخطي إلى المحتوى
  2. تخطي إلى القائمة الرئيسية
  3. تخطي إلى المزيد من صفحات DW
Indien Multiple Sklerose
صورة من: Indian Institute of Technology

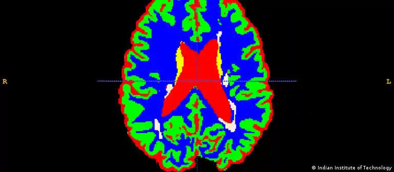
التصلب المتعدد

التصلب المتعدد أو التصلب اللويحي هو مرض يصيب الجهاز العصبي للإنسان ويظهر فجأة. ويختلف تطور هذا المرض من مريض لآخر، فبينما يعيش مرضى معه دون أي أعراض تذكر، يضطر آخرون إلى اللجوء لكرسي متحرك بعد سنوات قليلة فقط.

تخطي إلى الجزء التالي تقارير وتحليلات

تقارير وتحليلات

المزيد